• Home
  • Medicina dentaria +
    • Implantologia
    • Cirurgia
    • Prótese dentária
    • Ortodontia
    • Odontopediatria
    • Periodontologia
    • Estética dentária
    • Endodôntia
    • Dentária Preventiva
  • Medicina geral +
    • Alergologia
    • Pediatria
    • Podologia
    • Osteopatia
  • Contactos
  • Parcerias

Cirurgia oral

É uma especialidade da medicina dentária responsável por todos os atos cirúrgicos relacionados com a extração de dentes que apresentem impossibilidade de permanecer na cavidade oral por grande destruição ou perda de suporte ósseo, dentes inclusos, apicectomias, remoção de quistos, fibromas, cirurgia pré-protética (regularização do osso e da gengiva antes da confeção da prótese), entre outros.
É uma área bastante abrangente da medicina dentária e que envolve o diagnóstico e tratamento cirúrgico das doenças, traumatismos e deformações dos tecidos moles e duros na região da cavidade oral.

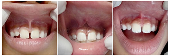
Frenectomia

Apicetomia

Extração de dentes inclusos


Tel.  229 514 132
Tlm. 969 608 315
Email geral@oralvital.pt

Se desejar entrar em contacto connosco, faça-o usando os nossos telefones, por e-mail ou preenchendo o formulário aqui disponibilizado para o efeito.